zavřít fotogalerii
sdílet
náhledy
85 / 89
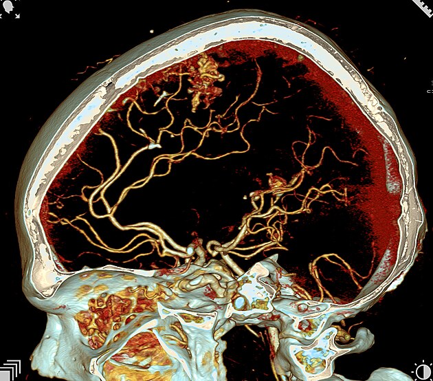
Cévní anomálie v mozku získané z CT přístroje.
Autor:
FN Plzeň